Главная → Новости и статьи → Лечение десен при имплантах
Лечение десен при имплантах
Время чтения статьи:
Классификация МКБ
Дата публикации21.01.2026 15:34:44
Категория
Атрофия и рецессия десен после имплантации
Имплантация зубов стала популярной процедурой среди пациентов, желающих восстановить утраченные зубы. Однако даже при высоком уровне современной стоматологии некоторые пациенты сталкиваются с проблемами после установки зубных имплантатов. Одной из наиболее распространенных проблем является атрофия и рецессия десны, вызванная плохим формированием десневого аппарата вокруг имплантата.
Причины возникновения
Атрофия десен возникает вследствие различных факторов, включая генетические особенности пациента, неправильную гигиену полости рта, курение и недостаточную остеоинтеграцию между костной тканью и имплантатом.
Рецессия десны представляет собой процесс уменьшения объема мягких тканей вокруг зуба или имплантата, что ведет к обнажению шейки имплантата и ухудшению эстетики улыбки.
Методы лечения и профилактики
В медицинском центре Доктор Боголюбов на филиале "Звездная" врачи-стоматологи-хирурги-имплантологи: Меликян Гайк Варданович; Мкртычян Юрий Вачаганович; Андрян Арсен Артушевич; Коськина Лариса Борисовна, успешно проводят лечение атрофии и рецессии десны и других проблем, возникающих после имплантации зубов. Оно включает комплекс мероприятий, направленных на восстановление здоровья десневых тканей и предотвращение дальнейшего повреждения.
Рассмотрим подробно каждый этап лечения.
Первым этапом является консультация врача-стоматолога-хирурга или пародонтолога. Врач проводит осмотр, собирает анамнез и назначает необходимые диагностические процедуры.
При выраженной рецессии десны часто проводится оперативное вмешательство. Наиболее распространенными методами являются:
- Пересадка соединительной ткани: материал берется из неба пациента и используется для увеличения объема мягких тканей вокруг имплантата.
- Свободная десневая пластика: забор слизистой оболочки с верхней части десны и размещение её на область дефекта.
- Методика коронарного смещения лоскута: перемещение десневой ткани вверх, закрывающей оголенную шейку имплантата.
Кроме хирургического вмешательства активно применяется аппарат «Вектор».
Этот прибор позволяет эффективно очищать поверхность имплантата от бактериального налета и воспалений, обеспечивая профилактику периимплантита и замедляя развитие рецессий десны.
Аппарат «Вектор» работает посредством ультразвука и специальной жидкости, бережно удаляя отложения и восстанавливая здоровье окружающих имплантат тканей.
Послеоперационный уход
После проведённого лечения пациент получает индивидуальные рекомендации по уходу за зубами и деснами:
Использование специальных щеток и паст для чувствительных зубов.
Полоскания антисептическими растворами.
Избегание жёсткой пищи и горячих напитков.
Посещение регулярных профилактических осмотров у стоматолога.
Соблюдение всех предписанных мер способствует быстрому заживлению раны и предотвращает повторное возникновение рецессии десны.
Правильное лечение рецессии десны и профилактика осложнений после имплантации зубов играют ключевую роль в поддержании здоровья полости рта и долговечности искусственных конструкций.
Записывайтесь на прием к врачам-стоматологам медицинского центра по телефону +7 495 745 65 03 или через телеграм бот @Bogobot_bot и сохраните красивую улыбку на годы вперед.
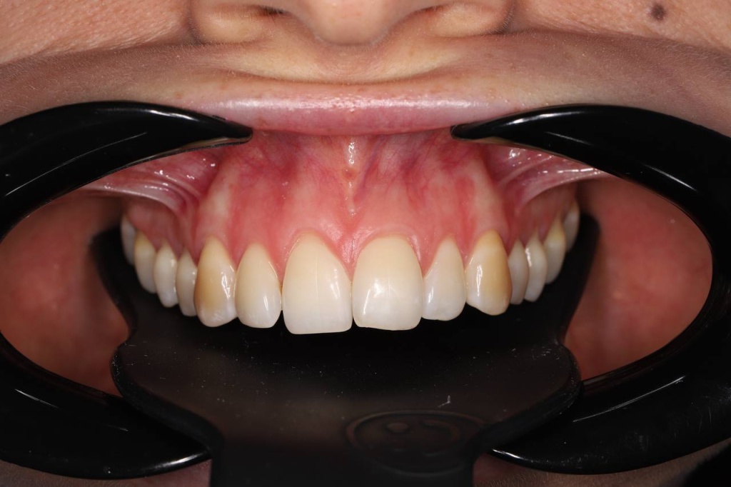
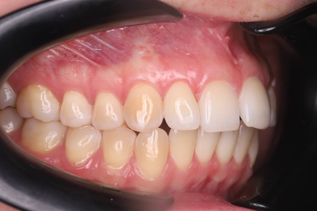
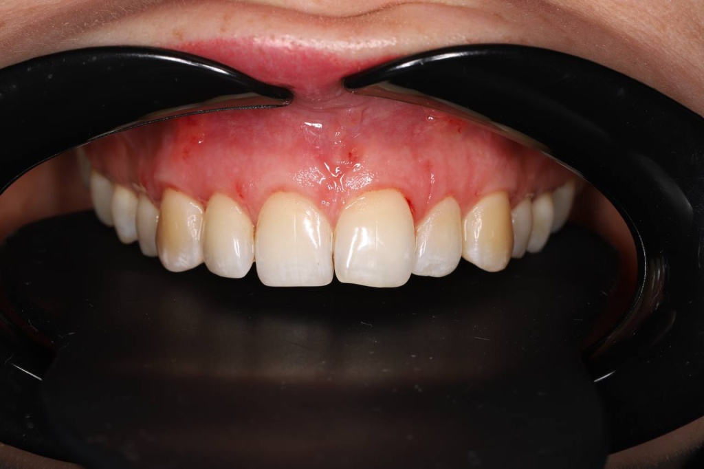
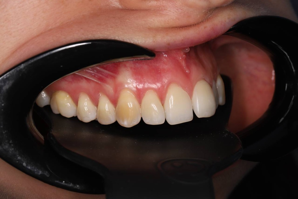
Тотальное устранение рецессий десны
До:
Современный подход к ведению беременности: забота о будущем начинается с первого скринингаНажмите, чтобы узнать подробнее
23.03.2026Современный подход к ведению беременности: забота о будущем начинается с первого скрининга
20.03.2026Патриотическое мероприятие в медицинском центре Доктор Боголюбов
24.02.2026Протезирование на имплантах All-on-6
18.02.2026Клинический случай одномоментной имплантации и протезированием день в день
18.02.2026Ортодонтическое лечение ДО/ПОСЛЕ
18.02.2026Пластика рецессии десны
18.02.2026Восстановили ВСЕ зубы за 3 дня
18.02.2026ДО/ПОСЛЕ. История нашей пациентки
04.12.2025УЗИ глазного яблока