Главная → Новости и статьи → Профилактика рака в гастроэнтерологии
Профилактика рака в гастроэнтерологии
Время чтения статьи:
Классификация МКБ
Дата публикации20.02.2026 16:41:05
Категория
Канцерофобия: как не пропустить рак?
Сегодня проблема рака желудочно-кишечного тракта является одной из наиболее значимых медицинских проблем современности. По данным статистики, рак желудка и кишечника входит в пятерку лидеров среди онкозаболеваний. Именно поэтому своевременная диагностика и профилактика становятся приоритетными направлениями современной медицины.
Пациенты часто обращаются сначала к врачу-гастроэнтерологу, жалуясь на дискомфорт в животе, боли, нарушения пищеварения. Однако важно понимать, что подобные симптомы могут указывать не только на хроническое заболевание ЖКТ, но и являться признаками злокачественного новообразования.
В таком случае, тесное сотрудничество гастроэнтеролога и онколога позволяет своевременно выявить наличие опухоли и начать соответствующее лечение.
Отделение гастроэнтерологии медицинского центра «Доктор Боголюбов» работает в филиалах г. Балашиха: «Звездная», «Акварели», «Южный», «Янтарный», «Алексеевская роща» Мы принимаем взрослых и детей с рождения.
Прием ведут врачи-гастроэнтерологи Белькевич Вероника Сергеевна, Коробова Ирина Владимировна, Ершова Любовь Дмитриевна, Кораблева Лилия Михайловна.
Канцерофобия и важность комплексного обследования
Страх перед раком («канцерофобия») мешает многим людям вовремя обратиться к специалистам. Важно понимать, что регулярное прохождение обследований помогает избежать негативных последствий заболевания.
Ранняя диагностика значительно повышает шансы на успешное лечение и полное выздоровление.
Комплексное обследование должно включать в себя:
УЗИ брюшной полости – ультразвуковая диагностика позволяет оценить структуру и размеры органов брюшной полости, выявить признаки воспаления, образования кист и опухолей.
Гастроскопия – осмотр пищевода, желудка и двенадцатиперстной кишки с использованием специальной камеры-эндоскопа. Этот метод позволяет увидеть даже самые незначительные патологические изменения.
Колоноскопия – исследование толстого кишечника. Во многих случаях именно эта процедура выявляет полипы и предраковые состояния.
В нашем медицинском центре применяется инновационная технология гастроскопии и колоноскопии в режиме NBI (Narrow Band Imaging), позволяющая получать чёткое изображение сосудистого рисунка слизистой оболочки, благодаря чему повышается точность диагностики. Это даёт возможность выявить онкологию на самой ранней стадии её развития.
Важно отметить, что в отделении эндоскопии медицинского центра «Доктор Боголюбов» возможно одновременное проведение гастроскопии и колоноскопии, что существенно сокращает общее время пребывания пациента в клинике и уменьшает количество стрессовых факторов.
Эндоскопия может выполняться под седацией, пациент находится в состоянии медикаментозного сна под контролем врачей анестезиологов-реаниматологов, а после переводится в Дневной стационар до пробуждения и восстановления нормального самочувствия. Это особенно актуально для тех, кто испытывает страх перед процедурой или имеет высокий болевой порог.
Биопсия – во время эндоскопии из подозрительных на наличие патологических клеток участков слизистой выполняется взятие образцов тканей для дальнейшего гистологического анализа.
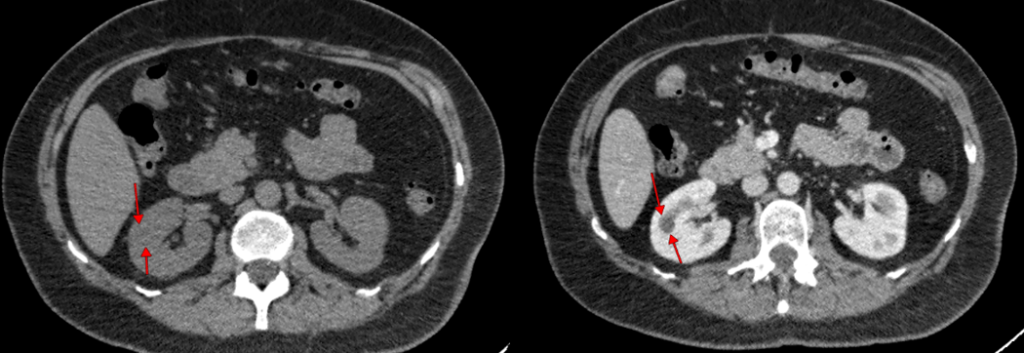
Мультиспиральная компьютерная томография (МСКТ) брюшной полости– является высокоинформативным методом диагностики, который позволяет визуализировать органы и ткани организма с высоким разрешением. Нашей особенностью является возможность проведения МСКТ с применением внутривенного контраста, что позволяет лучше дифференцировать границы нормальных и патологически измененных тканей.
Исследование показано при наличии подозрений на опухоль, увеличение лимфатических узлов, поражение печени, поджелудочной железы, селезенки и других органов. Оно помогает определить локализацию и размеры новообразования, оценить степень распространения болезни и выбрать оптимальную тактику лечения.
Анализ крови на онкомаркеры. Хотя уровень онкомаркеров не является абсолютным показателем наличия злокачественной опухоли, повышение концентрации некоторых белков (например, CA 19-9, CEA, AFP) может сигнализировать о повышенном риске развития рака.
Генетическое тестирование. Пациентам с семейным анамнезом наследственных форм рака рекомендуется пройти генетический скрининг, позволяющий выявить мутации, повышающие вероятность возникновения опухоли.
Для удобства наших пациентов в медицинском центре «Доктор Боголюбов» разработаны специальные программы («чек-апы»), направленные на профилактику и раннее выявление онкологических заболеваний ЖКТ. Данные программы включают консультации профильных специалистов, лабораторные анализы, ультразвуковое исследование органов брюшной полости, а также эндоскопические методы диагностики. Такие программы направлены на выявление потенциальных рисков и раннюю диагностику возможных заболеваний.
Записывайтесь на прием к специалистам медицинского центра по телефону +7 495 745 65 03 или через телеграм бот @Bogobot_bot прямо сейчас и позаботьтесь о своем здоровье вместе с нами!
Современный подход к ведению беременности: забота о будущем начинается с первого скринингаНажмите, чтобы узнать подробнее
23.03.2026Современный подход к ведению беременности: забота о будущем начинается с первого скрининга
20.03.2026Патриотическое мероприятие в медицинском центре Доктор Боголюбов
24.02.2026Протезирование на имплантах All-on-6
18.02.2026Клинический случай одномоментной имплантации и протезированием день в день
18.02.2026Ортодонтическое лечение ДО/ПОСЛЕ
18.02.2026Пластика рецессии десны
18.02.2026Восстановили ВСЕ зубы за 3 дня
18.02.2026ДО/ПОСЛЕ. История нашей пациентки
04.12.2025УЗИ глазного яблока